Chaetomium sp.

Crédit photo: Laboratoire d'expertise et de diagnostic en phytoprotection - MAPAQ
Légende: Trois périthèces de Chaetomium sp. sur un milieu de culture gélosé (Stéréomicroscope)
Crédit photo: Laboratoire d'expertise et de diagnostic en phytoprotection - MAPAQ
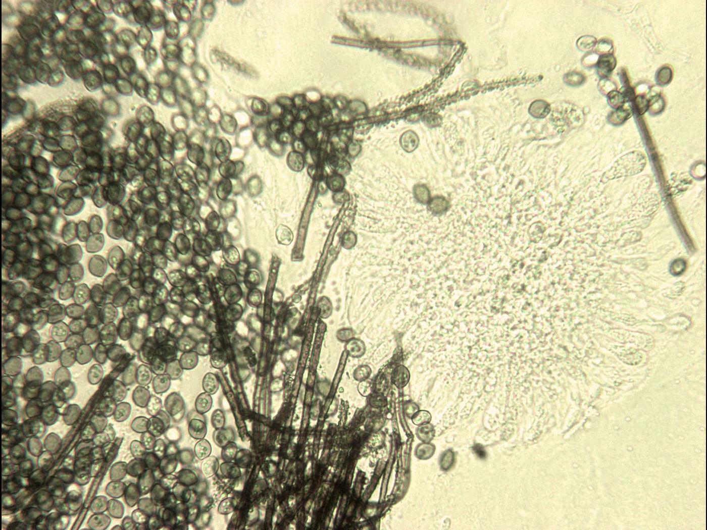
Légende: Ascospores en forme de citron de Chaetomium sp.
Crédit photo: Laboratoire d'expertise et de diagnostic en phytoprotection - MAPAQ
Crédit photo: Laboratoire d'expertise et de diagnostic en phytoprotection - MAPAQ
Chaetomium-02_LQ
Chaetomium-11_LQ
Chaetomium_funicola_D52238-1_LQ
Chaetomium_funicola_D52238-2_LQ
Informations complémentaires

Les soies qui ornementent le périthèce sont souvent en tire-bouchon, mais peuvent aussi être droites. Certains hyphes sont septés, hyalins à brun pâle. Chaetomium tetrasporum a 4 ascospores par asque.

Dommages

Champignon de couche, Orchidées, Raisin (vigne)