Aller au contenu principal
Toggle menu
Me connecter
Accueil
Rechercher
Symptômes et dommages sur les plantes
Culture
Insectes et autres invertébrés
Mauvaises herbes et autres plantes
Virus et viroïdes
Champignons
Nématodes
Bactéries et phytoplasmes
Identifier
Glossaire
Galerie d'images
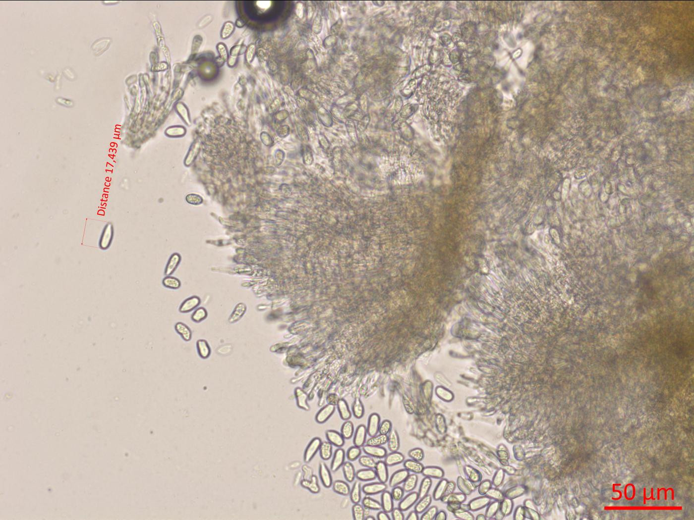
Cryptosporiopsis tarraconensis
Accueil
Maladies parasitaires
Champignons
Cryptosporiopsis tarraconensis
Cryptosporiopsis tarraconensis
Taxonomie :
Règne : Fungi
>
Division : Ascomycota
>
Classe : Leotiomycetes
>
Ordre : Helotiales
>
Famille : Dermateaceae
Crédit photo
: Laboratoire d'expertise et de diagnostic en phytoprotection - MAPAQ
Maladies parasitaires
Champignons
sfy39587stp18
Drupal 9 Appliance
- Powered by
TurnKey Linux