Chromelosporium sp.
Taxonomie : Règne : Fungi > Division : Ascomycota > Classe : Pezizomycetes > Ordre : Pezizales > Famille : Pezizaceae
Informations complémentaires
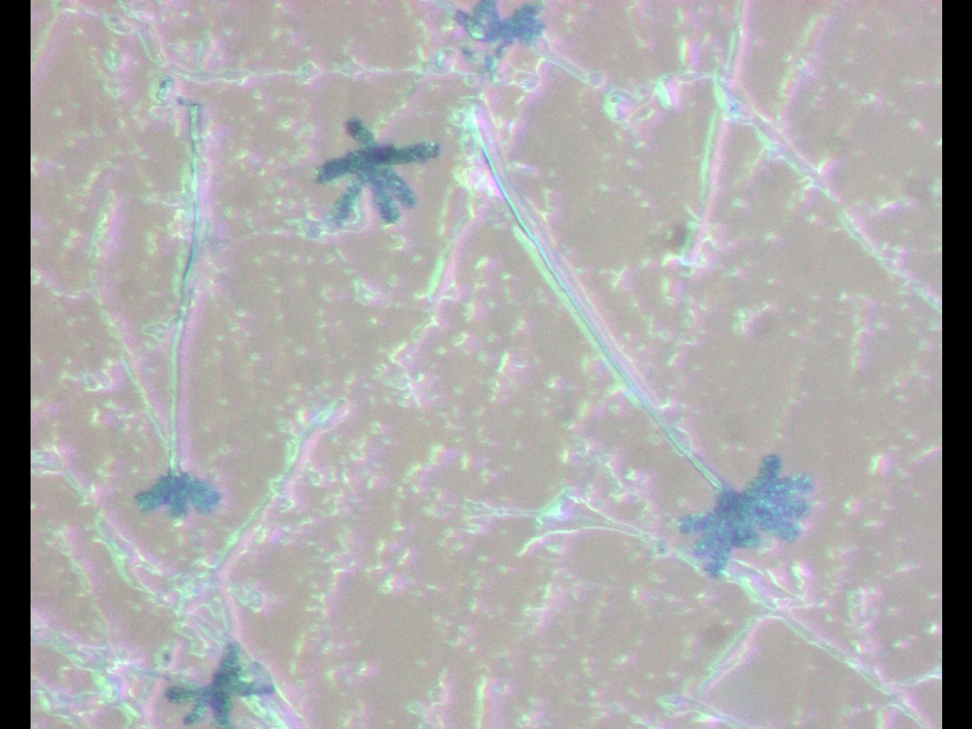
Chromelosporium portait auparavant le nom de Ostracoderma. Il s'agit d'un champignon saprophyte qui recouvre souvent le dessus du substrat en serre. La masse de conidies est de couleur brun clair. Son stade sexué forme des pezizes.
Dommages
Géraniums (Pélargoniums), Tabac, Tabacs d'ornement

